Implanty stomatologiczne to temat, który budzi wiele emocji i zainteresowania, zwłaszcza w kontekście ich historii oraz osób, które przyczyniły się do ich rozwoju. Warto zauważyć, że pierwsze próby wszczepiania implantów mają swoje korzenie w starożytności, kiedy to różne cywilizacje próbowały stosować materiały naturalne do zastępowania utraconych zębów. Jednak prawdziwy przełom nastąpił w XX wieku, kiedy to szwedzki ortopeda Per-Ingvar Brånemark odkrył, że tytan może być skutecznie integrowany z kością ludzką. Jego badania nad osteointegracją, czyli procesem, w którym implant łączy się z kością, stanowiły fundament dla współczesnych implantów stomatologicznych. W 1965 roku Brånemark wszczepił pierwszy implant tytanowy pacjentowi, co zapoczątkowało nową erę w stomatologii. Jego prace były kluczowe nie tylko dla rozwoju technologii implantologicznej, ale również dla zmiany podejścia do leczenia braków zębowych.
Jakie były pierwsze zastosowania implantów stomatologicznych
Początkowe zastosowania implantów stomatologicznych były ograniczone i często eksperymentalne. W latach 60. XX wieku, kiedy Per-Ingvar Brånemark rozpoczął swoje badania nad tytanem jako materiałem do wszczepiania, jego celem było przede wszystkim zrozumienie mechanizmów integracji tego metalu z tkanką kostną. Pierwsze implantu były stosowane głównie u pacjentów z poważnymi brakami zębowymi lub po urazach szczękowo-twarzowych. W miarę postępu badań i rozwoju technologii, możliwości zastosowania implantów zaczęły się rozszerzać. W latach 80. i 90. XX wieku implanty stały się coraz bardziej popularne, a ich konstrukcja oraz techniki wszczepiania uległy znaczącej poprawie. Dzięki temu lekarze mogli oferować pacjentom bardziej komfortowe i trwałe rozwiązania w przypadku utraty zębów.
Jakie są nowoczesne technologie w implantologii stomatologicznej

Współczesna implantologia stomatologiczna korzysta z zaawansowanych technologii, które znacznie poprawiają efektywność zabiegów oraz komfort pacjentów. Jednym z najważniejszych osiągnięć jest rozwój cyfrowych technologii obrazowania, takich jak tomografia komputerowa oraz skanowanie 3D. Dzięki tym technologiom lekarze mogą dokładnie planować zabiegi oraz precyzyjnie określać miejsce wszczepienia implantu. Kolejnym istotnym elementem są materiały używane do produkcji implantów. Obecnie stosuje się różnorodne stopy tytanu oraz powłoki bioaktywne, które wspierają proces osteointegracji i przyspieszają gojenie się tkanek. Również techniki chirurgiczne ewoluowały – coraz częściej stosuje się metody minimalnie inwazyjne, które zmniejszają ryzyko powikłań oraz skracają czas rekonwalescencji pacjentów.
Jakie są zalety i wady stosowania implantów stomatologicznych
Implanty stomatologiczne mają wiele zalet, które przyciągają pacjentów poszukujących skutecznych rozwiązań na problemy związane z brakami zębowymi. Przede wszystkim oferują one trwałość i stabilność porównywalną z naturalnymi zębami, co pozwala na przywrócenie pełnej funkcjonalności jamy ustnej. Ponadto implanty nie wymagają szlifowania sąsiednich zębów, co jest istotnym atutem w porównaniu do tradycyjnych mostków czy protez. Dzięki temu zachowuje się większą ilość zdrowej tkanki zębowej. Należy jednak pamiętać o pewnych wadach związanych z ich stosowaniem. Proces wszczepienia implantu wymaga przeprowadzenia zabiegu chirurgicznego, co wiąże się z ryzykiem powikłań oraz bólu pooperacyjnego. Dodatkowo nie każdy pacjent jest odpowiednim kandydatem do tego typu leczenia – osoby cierpiące na choroby przewlekłe lub mające problemy ze zdrowiem jamy ustnej mogą napotkać trudności w uzyskaniu pozytywnych efektów leczenia.
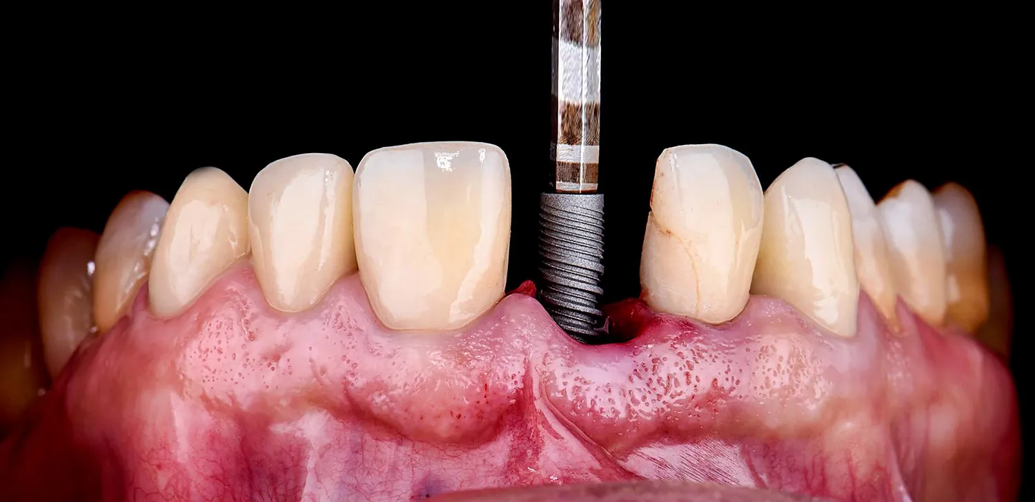
Jakie są najnowsze osiągnięcia w implantologii stomatologicznej
W ostatnich latach implantologia stomatologiczna przeszła znaczną ewolucję, a nowe osiągnięcia technologiczne i badawcze przyczyniły się do poprawy jakości leczenia oraz zwiększenia satysfakcji pacjentów. Jednym z najważniejszych trendów jest rozwój implantów cyfrowych, które umożliwiają lekarzom precyzyjne planowanie zabiegów oraz dostosowywanie implantów do indywidualnych potrzeb pacjentów. Dzięki zastosowaniu technologii CAD/CAM, lekarze mogą projektować implanty i elementy protetyczne na podstawie dokładnych danych uzyskanych z obrazowania 3D, co pozwala na lepsze dopasowanie i estetykę. Kolejnym istotnym osiągnięciem jest wprowadzenie materiałów bioaktywnych, które wspierają proces gojenia oraz integracji implantu z kością. Te innowacyjne materiały mogą przyspieszać regenerację tkanek oraz zmniejszać ryzyko powikłań. Również techniki chirurgiczne uległy znaczącej poprawie – coraz częściej stosuje się metody małoinwazyjne, które minimalizują uszkodzenia tkanek miękkich i skracają czas rekonwalescencji.
Jakie są koszty związane z wszczepieniem implantów stomatologicznych
Koszty związane z wszczepieniem implantów stomatologicznych mogą się znacznie różnić w zależności od wielu czynników, takich jak lokalizacja gabinetu stomatologicznego, doświadczenie lekarza, rodzaj użytych materiałów oraz zakres przeprowadzanych zabiegów. Średni koszt jednego implantu tytanowego w Polsce wynosi zazwyczaj od kilku do kilkunastu tysięcy złotych. Warto jednak pamiętać, że cena ta często nie obejmuje wszystkich dodatkowych kosztów związanych z leczeniem, takich jak konsultacje, zdjęcia rentgenowskie, procedury przygotowawcze czy elementy protetyczne. Ponadto pacjenci powinni być świadomi, że niektóre kliniki oferują pakiety leczenia, które mogą obejmować wszystkie etapy procesu – od diagnostyki po finalne osadzenie korony na implancie. W przypadku osób z ograniczonym budżetem warto rozważyć różne opcje finansowania lub programy ratalne, które mogą ułatwić pokrycie kosztów leczenia.
Jakie są przeciwwskazania do wszczepienia implantów stomatologicznych
Decyzja o wszczepieniu implantu stomatologicznego nie jest podejmowana lekko i wymaga dokładnej oceny stanu zdrowia pacjenta. Istnieje wiele przeciwwskazań do tego typu zabiegów, które mogą wpłynąć na skuteczność leczenia oraz bezpieczeństwo pacjenta. Przede wszystkim osoby cierpiące na choroby przewlekłe, takie jak cukrzyca czy choroby serca, powinny być starannie oceniane przez lekarza przed podjęciem decyzji o wszczepieniu implantu. Problemy z układem immunologicznym również mogą stanowić przeszkodę w przeprowadzeniu zabiegu, ponieważ osłabiony organizm może mieć trudności z gojeniem się po operacji. Dodatkowo palenie tytoniu jest czynnikiem ryzyka, który może negatywnie wpływać na proces gojenia oraz zwiększać ryzyko powikłań. Osoby z chorobami przyzębia lub innymi problemami stomatologicznymi również powinny najpierw poddać się odpowiedniemu leczeniu przed rozważeniem wszczepienia implantu.
Jakie są opinie pacjentów na temat implantów stomatologicznych
Opinie pacjentów na temat implantów stomatologicznych są zazwyczaj bardzo pozytywne, co potwierdza ich rosnącą popularność jako rozwiązania dla osób borykających się z brakami zębowymi. Wielu pacjentów podkreśla znaczną poprawę komfortu życia po wszczepieniu implantów – możliwość jedzenia ulubionych potraw bez obaw o ruchomość protez czy estetykę uśmiechu to dla wielu kluczowe czynniki wpływające na ich satysfakcję. Pacjenci często zwracają uwagę na naturalny wygląd implantów oraz ich funkcjonalność porównywalną z naturalnymi zębami. Jednak niektórzy pacjenci zgłaszają również obawy dotyczące bólu pooperacyjnego oraz czasu rekonwalescencji związanej z zabiegiem wszczepienia implantu. Ważne jest, aby przed podjęciem decyzji o leczeniu skonsultować się z lekarzem i uzyskać pełne informacje na temat przebiegu zabiegu oraz możliwych efektów ubocznych.
Jak dbać o implanty stomatologiczne po ich wszczepieniu
Prawidłowa pielęgnacja implantów stomatologicznych jest kluczowa dla zapewnienia ich długotrwałej funkcjonalności oraz zdrowia jamy ustnej. Po zakończeniu procesu gojenia pacjenci powinni stosować się do zaleceń lekarza dotyczących higieny jamy ustnej. Regularne szczotkowanie zębów oraz nitkowanie to podstawowe czynności, które pomagają utrzymać czystość wokół implantu i zapobiegać gromadzeniu się płytki nazębnej. Ważne jest także regularne odwiedzanie dentysty w celu przeprowadzania kontroli stanu zdrowia jamy ustnej oraz profesjonalnego czyszczenia. Pacjenci powinni unikać twardych pokarmów oraz nadmiernego obciążania implantu przez pierwsze miesiące po zabiegu, aby dać czas tkankom na pełne zagojenie się i integrację implantu z kością. Dodatkowo osoby palące powinny rozważyć ograniczenie lub zaprzestanie palenia tytoniu, ponieważ może to negatywnie wpływać na proces gojenia oraz zwiększać ryzyko powikłań.
Jakie są przyszłe kierunki rozwoju implantologii stomatologicznej
Przyszłość implantologii stomatologicznej wydaje się obiecująca dzięki ciągłemu postępowi technologicznemu oraz badaniom naukowym w tej dziedzinie. W miarę jak naukowcy odkrywają nowe materiały i techniki chirurgiczne, można spodziewać się dalszego rozwoju implantów o lepszej biokompatybilności oraz wyższej trwałości. Jednym z kierunków rozwoju jest personalizacja implantów – dzięki zastosowaniu technologii druku 3D możliwe będzie tworzenie indywidualnych rozwiązań dostosowanych do unikalnych potrzeb każdego pacjenta. Dodatkowo badania nad komórkami macierzystymi mogą otworzyć nowe możliwości w zakresie regeneracji tkanek kostnych i miękkich wokół implantu, co może znacznie poprawić wyniki leczenia. Również rozwój telemedycyny może wpłynąć na sposób monitorowania stanu zdrowia pacjentów po zabiegach – lekarze będą mogli łatwiej śledzić postęp gojenia i reagować na ewentualne problemy w czasie rzeczywistym.





